What is Rhinoplasty?

It refers to the use of plastic surgery to achieve a harmonious and balanced nose bridge line between the tip and the bridge of the nose. Rhinoplasty procedures include 3D CT rhinoplasty, no-implant rhinoplasty, septoplasty, deviated nose surgery, hump removal surgery, revision rhinoplasty, and male rhinoplasty. To improve the three-dimensional shape or ratio of the face, procedures like facial lifting, paranasal implant transplantation, facial contouring surgery, and facial fat grafting may be combined with rhinoplasty. Depending on each individual’s facial condition, these procedures may be advised together.

Braun doctors are board-certified plastic surgeons in Korea. They are skilled and experienced doctors with a good reputation in Korea.
ONLINE CONSULTATION

Summary of the 3D CT Rhinoplasty

  • Operation time
    Operation time

    around 2 hours

  • Admission
    Admission

    No admission

  • No. of visits
    No. of visits

    2–3 visits

  • Anesthesia
    Anesthesia

    IV sedation + Local anesthesia

  • Suture removal
    Suture removal

    POD #5

  • Recovery time (period of stay)
    Recovery time (period of stay)

    5-7 days

What is 3D CT Rhinoplasty?

3D CT Rhinoplasty helps to perform an advanced rhinoplasty after carefully analyzing the face to determine what works best for it. Three-dimensional analysis is used to determine the general state, size, shape, and asymmetry of the nasal bone, nasal septal cartilage, and skin tissue, which cannot be determined through general counseling. When planning a revision rhinoplasty, we will examine functional elements like nasal septal deviation, the shape of existing implants, including silicone ones, or complications from prior surgeries.

3D CT Rhinoplasty before

Before

3D CT Rhinoplasty after

After

3D CT Rhinoplasty before

Before

3D CT Rhinoplasty after

After

Surgery Procedure

Incision site

When only minimal work is required such as bridge augmentation only, a closed rhinoplasty is performed. Open rhinoplasty is often used to correct the internal structure of the nose more precisely or to correct the overall shape of the nose. With this procedure, incisions are made in the columella between the nostrils and inside the nostrils.

VS
CLOSED RHINOPLASTY

CLOSED RHINOPLASTY

OPEN RHINOPLASTY

OPEN RHINOPLASTY

Surgical Procedure

3D-CT scan analysis of nasal bone and cartilage for rhinoplasty surgical planning
01

Through 3D-CT scan, examine the bone and cartilage as well as the surgical site, including the necessity of osteotomy and the amount of nasal bone reduction(osteotomy).

Surgical dissection separating cartilage, perichondrium, nasal bone, and periosteum to create space for implant placement
02

After the surgical site has been incised, the cartilage, perichondrium, nasal bone, and periosteum are separated to create room for cartilage and implant

Insertion of cartilage and implant materials tailored to the nasal bridge and tip during rhinoplasty
03

Insertion of cartilage and implant using materials that are appropriate for the shape of the nose's bridge and tip

A beautiful nose line is completed
04

A beautiful nose line is completed

Recovery Process

FRONT
Recovery Process
BEFORE
Recovery Process
DAY 1
Recovery Process
DAY 5
Recovery Process
ONE MONTH
PROFILE
Recovery Process side face
BEFORE
Recovery Process side face
DAY 1
Recovery Process side face
DAY 5
Recovery Process side face
ONE MONTH

How is Braun's Surgical Method Different from General Surgical Methods?

Customizing the surgical approach to each patient makes 1:1 personalized surgery possible. Not just prioritizing the aesthetical result, Braun Plastic Surgery focuses on the functional improvements of rhinoplasty. With our extensive surgical experience and wide range of materials, we recommend implants that are suitable for each individual.

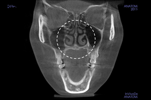
Importance of 3D-CT Scan in Rhinoplasty

During every consultation for rhinoplasty, Braun Plastic Surgery Clinic uses 3D-CT scan to analyze the following issues in three dimensions: A precise surgical plan can be established, and potential side effects reduced by thoroughly understanding the size, shape, and asymmetry of the invisible portions of the nose and the nearby anatomical structures prior to surgery.

With implants made specifically for each patient with the help of 3D-CT scan, we can reduce the probability of side effects and achieve a more natural-looking appearance.

1. Analysis of septal cartilage in various sizes and shapes
Analysis of septal cartilage in various sizes and shapes
Analysis of septal cartilage in various sizes and shapes
2. Diagnosis of deviated nose and septal deviation
Diagnosis of deviated nose and septal deviation
Diagnosis of deviated nose and septal deviation
3. Analysis of the width and asymmetry of the nasal bone
Analysis of the width and asymmetry of the nasal bone
Analysis of the width and asymmetry of the nasal bone
4. Diagnosis of inferior turbinate asymmetry and surgery for nasal obstruction
Diagnosis of inferior turbinate asymmetry and surgery for nasal obstruction
Diagnosis of inferior turbinate asymmetry and surgery for nasal obstruction

Candidates for Rhinoplasty

  • 체크아이콘 If you want an attractive nose that complements your face shape.
  • 체크아이콘 If you want to improve rhinitis or other nose disorders while also improving the appearance.
  • 체크아이콘 If you want to change the shape of the nose, such as flat, flared, deviated, curvy, boxy, long, or short noses, or would like to change the droopy or upturned tip.
  • 체크아이콘 If you need revision rhinoplasty because of the unsatisfying primary rhinoplasty result.
Nose’s Golden Ratio for Facial Proportion
Nose’s Golden Ratio
for Facial Proportion
The location of the nose is positioned at the center of the face. If it is corrected according to the right aesthetical ratio of the face, you will have a three-dimensional effect as well as the harmony of the facial features which will enhance the charm of your eyes and lips.

BEFORE & AFTER PHOTO

FAQ

Swelling after nose surgery varies from person to person, and splints and stitches are typically removed 5 days after surgery. Major swelling or bruising goes away within 2 to 3 weeks, and after a month, the major swelling goes away and you can start to see natural results. However, if you want to see the final result, we suggest you to wait 6 months. 

It is generally a good idea to wait aroundone weekto return to your daily activities. However, more vigorous or high-impact exercise should be held back until a month has passed.  

Patients are encouraged to wait about 6 to 12 months after rhinoplasty before undergoing revision rhinoplasty, though this can vary slightly from person to person. Our doctors will review your history, discuss your desired outcome, and determine if you are a good candidate for surgery at that particular time.  

Rhinoplasty can be performed after the nose filler has been dissolved. However, if there are fillers remaining inside the nose, the medical staff will assist with dissolving the fillers before your surgery, and sometimes the doctors may dissolve more during the surgery if necessary.  

Each implant has unique characteristics, strengths, and weaknesses, so it is critical to choose an implant that is appropriate for the patient undergoing surgery. 

BRAUN YOUTUBE

Publication in World-Renowned Plastic Surgery Journal

2019 PRS KOREA

2018 PRS KOREA

  • 2019 PRS KOREA - Korean Plastic Surgery International Conference

    Presentation by Chief Dr. Lee Ji-Won on the subject of "The indication of MACS lift after facial bone contouring surgery."

  • 2019 PRS KOREA - Korean Plastic Surgery International Conference

    Presentation by Chief Dr. Ryu Dong-Wan on the subject of "Cheek drooping in the reduction malarplasty."

  • 2018 PRS KOREA - Korean Plastic Surgery International Conference

    Presentation by Chief Dr. Lee Ji-Won on the subject of "Combined MACS lift with facial bone contouring surgery in case of submalar hollow and sagging skin."

REGISTERED TRADEMARK IN EACH SURGICAL PROCEDUR

Braun applied for a trademark for their own surgical methods, such as rhinoplasty, eye surgery, anti-aging, and breast augmentation. Braun is unrivaled in terms of core competitiveness.

  • Braun Ski Slope Nose Surgery

  • Braun Natural Adhesion Double Eyelid Surgery

  • Braun Soft Breast Augmentation

  • Braun Soft Breast Augmentation

  • Braun Soft Breast Augmentation

  • Braun Lifting facial Contouring Surgery

  • Braun Ski Slope Nose Surgery

  • Mochiri Tofu Breast Augmentation

*Complications such as bleeding, infection or inflammation may occur following the surgery, and individual satisfaction may differ: please consult with your surgeon.
닫기
QR
QR
QR
로그인하셔야 본 서비스를 이용하실 수 있습니다.